Cmv Vs Hsv Esophagitis - Atypical Manifestation Of Herpes Esophagitis In An Immunocompetent Patient Case Report And Literature Review / As with cmv, hsv esophagitis becomes increasingly common with cd4 cell count less than 100/mm3, and the incidence rises sharply with counts less than 50/mm3.

Cmv Vs Hsv Esophagitis - Atypical Manifestation Of Herpes Esophagitis In An Immunocompetent Patient Case Report And Literature Review / As with cmv, hsv esophagitis becomes increasingly common with cd4 cell count less than 100/mm3, and the incidence rises sharply with counts less than 50/mm3.. Since they present pretty similarly in the clinic, it is important to distinguish for treatment biopsy should be obtaned from the base and the edge of any ulcers when these infections are suspected. In the liver there are macroscopic yellow foci of necrosis and hemorrhage. Hiv retinopathy, herpes simplex retinitis, varicella zoster retinitis, toxoplasmosis; Viral esophagitis is most commonly caused by herpes simplex virus (hsv) and cytomegalovirus (cmv) in immunocompromised patients and occasionally in immunocompetent patients 1. Although hsv esophagitis is much more common in immunosuppressed individuals, it can occur in healthy persons.

Cmv esophagitis occurs most often in patients with aids or severe immunosuppression. Similar forum topics cmv cmv. Single, large, shallow, linear ulcer ; Typically there is involvement of the gastric antrum. In patients with hiv infection or aids, cmv infection is an opportunistic infection that signals a decline in patient.

Https Pubs Rsna Org Doi Pdf 10 1148 Rg 2019190052
Https Pubs Rsna Org Doi Pdf 10 1148 Rg 2019190052 from
Symptoms include dysphagia, upper abdominal pain, diarrhea, nausea, vomiting, and sometimes hematemesis.this condition occurs in the setting of patients with a weakened immune system who are susceptible to both infections by cmv and the manifestation of symptoms. Among aids patients, cmv is much more common than hsv, and viral esophagitis occurs mainly when the cd4+ count is < 200/mcl. Typically there is involvement of the gastric antrum. Single, large, shallow, linear ulcer ; The virus is similar to that of herpes simplex and cmv with intranuclear inclusions. Herpes esophagitis is a viral infection of the esophagus. Cmv esophagitis occurs most often in patients with aids or severe immunosuppression. Severe odynophagia results from either.

Cmv esophagitis occurs most often in patients with aids or severe immunosuppression.

Endoscopic examination of the gi tract typically shows linear ulcers 11 adrenal insufficiency. Cytomegalovirus esophagitis overview of cytomegalovirus accessed 12 february 2019) Discussion the first description of herpetic esophagitis was by Know the real cause of esophagitis & how to heal your digestive system naturally. The diagnosis of hsv and cmv esophagitis, and to develop a predictive model for differentiating cmv esophagitis from hsv esophagitis. Rare cases of immunocompetent hosts have been reported. Although hsv esophagitis is much more common in immunosuppressed individuals, it can occur in healthy persons. Symptoms include dysphagia, upper abdominal pain, diarrhea, nausea, vomiting, and sometimes hematemesis.this condition occurs in the setting of patients with a weakened immune system who are susceptible to both infections by cmv and the manifestation of symptoms. Rarely occurs in immunocompetent patients (emedicine: Less commonly, cmv esophagitis appears as small, superficial ulcers that are indistinguishable from the ulcers of herpes esophagitis on barium studies. Manifests with odyn ophagia, abdominal pain, bloody diarrhea; Typically there is involvement of the gastric antrum. False positives/negatives because herpetic ulcers rarely become as large as those of infectious esophagitis, the presence of 1 or more giant ulcers suggests the possibility of cmv esophagitis in.

Viral esophagitis is most commonly caused by herpes simplex virus (hsv) and cytomegalovirus (cmv) in immunocompromised patients and occasionally in immunocompetent patients 1. This thread is closed, so you cannot post a reply. Clinical characteristics and endoscopic features were retrospectively reviewed and categorized. Cmv esophagitis occurs most often in patients with aids or severe immunosuppression. Candidal esophagitis without evidence of oral thrush, herpes simplex virus (hsv) esophagitis and varicella zoster virus (vzv) esophagitis may all mimic cmv esophagitis.

2 Infectious Esophagitis Youtube
2 Infectious Esophagitis Youtube from i.ytimg.com
Deep ulceration is uncommon 1. Less commonly, cmv esophagitis appears as small, superficial ulcers that are indistinguishable from the ulcers of herpes esophagitis on barium studies. Among the viral causes of esophagitis, herpes simplex virus (hsv) is the most common, followed by cytomegalovirus (cmv). With cases of eoe, a biopsy sample collected during endoscopy will reveal the presence of eosinophils—while blood cells that are part of your immune system and that are not normally present in the esophagus. Ultimate gut formula that heals your esophagus naturally with 4 powerful nutrients. Complications of herpetic esophagitis, including fatal hemorrhage,37 esophageal perforation with. These infections are equally likely in transplant patients, but hsv esophagitis occurs early after transplantation (reactivation) and cmv esophagitis occurs 2 to 6 months after. Rarely occurs in immunocompetent patients (emedicine:

Deep ulceration is uncommon 1.

Single, large, shallow, linear ulcer ; Manifests with odyn ophagia, abdominal pain, bloody diarrhea; If cmv infects the esophagus, the long tub that extends from your throat to your stomach, it becomes cmv esophagitis. Cmv esophagitis odynophagia is the predominant presenting symptom endoscopic findings may range from frank ulceration to segmental erosions ulcerations are typically large, solitary, shallow lesions with clearly defined margins harada, n., shimada, m., suehiro, t., et al. Candidal esophagitis without evidence of oral thrush, herpes simplex virus (hsv) esophagitis and varicella zoster virus (vzv) esophagitis may all mimic cmv esophagitis. Endoscopic examination of the gi tract typically shows linear ulcers 11 adrenal insufficiency. Of mucocutaneous herpes does not in any way rule out the diagnosis of herpetic esophagitis. A predictive model was developed based on. Ultimate gut formula that heals your esophagus naturally with 4 powerful nutrients. It produces chicken pox in children and. Complications of herpetic esophagitis, including fatal hemorrhage,37 esophageal perforation with. Clinical characteristics and endoscopic features were retrospectively reviewed and categorized. Disseminated herpes infection is commonly seen in immunocompromised patients (vesicular eruptions, encephalitis, esophagitis, keratitis).

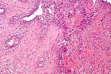
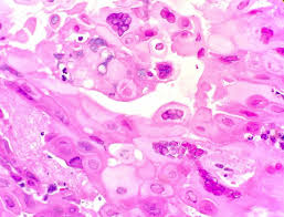
It produces chicken pox in children and. Ulcers can coalese and form black esophagus histology will show eosinophilic intranuclear inclusions (cowdry type a) and multinucleated squamous cells surrounding the ulcers on biopsy; Hsv esophagitis has also been reported in organ transplant recipients in the setting of acute rejection and intensive immunosuppression 5,10 . The endoscopic appearance of cmv esophagitis usually is typified by large (sometimes >10 cm 2), shallow,. Type 1 and type 2 can both cause herpes esophagitis, although herpes type 1 is more common.

Herpetic Esophagitis In Immunocompentent Host Cases Report Bmc Infectious Diseases Full Text
Herpetic Esophagitis In Immunocompentent Host Cases Report Bmc Infectious Diseases Full Text from media.springernature.com
Hsv esophagitis was made at postmortem examination (fig. Cytomegalovirus esophagitis is really two conditions, the cmv virus itself and esophagitis that. Type 1 and type 2 can both cause herpes esophagitis, although herpes type 1 is more common. Clinical characteristics and endoscopic features were retrospectively reviewed and categorized. Viral esophagitis is most commonly caused by herpes simplex virus (hsv) and cytomegalovirus (cmv) in immunocompromised patients and occasionally in immunocompetent patients 1. Ulcers can coalese and form black esophagus histology will show eosinophilic intranuclear inclusions (cowdry type a) and multinucleated squamous cells surrounding the ulcers on biopsy; Symptoms include dysphagia, upper abdominal pain, diarrhea, nausea, vomiting, and sometimes hematemesis.this condition occurs in the setting of patients with a weakened immune system who are susceptible to both infections by cmv and the manifestation of symptoms. 2,16 cmv esophagitis is diagnosed by presence of ulcers of the distal esophagus and biopsy evidence of intranuclear inclusion.

Deep ulceration is uncommon 1.

Cmv esophagitis occurs most often in patients with aids or severe immunosuppression. Rare cases of immunocompetent hosts have been reported. Deep ulceration is uncommon 1. In patients with candida and hsv esophagitis, the infections commonly involve only the esophagus and oropharynx. Less commonly, cmv esophagitis appears as small, superficial ulcers that are indistinguishable from the ulcers of herpes esophagitis on barium studies. This thread is closed, so you cannot post a reply. As with cmv, hsv esophagitis becomes increasingly common with cd4 cell count less than 100/mm3, and the incidence rises sharply with counts less than 50/mm3. Among the viral causes of esophagitis, herpes simplex virus (hsv) is the most common, followed by cytomegalovirus (cmv). Clinical characteristics and endoscopic features were retrospectively reviewed and categorized. Symptoms include dysphagia, upper abdominal pain, diarrhea, nausea, vomiting, and sometimes hematemesis.this condition occurs in the setting of patients with a weakened immune system who are susceptible to both infections by cmv and the manifestation of symptoms. Since they present pretty similarly in the clinic, it is important to distinguish for treatment biopsy should be obtaned from the base and the edge of any ulcers when these infections are suspected. Unusual endoscopic findings of cmv esophagitis after liver transplantation. In contrast, cmv esophagitis often occurs as part of a disseminated cmv infection.

In contrast, cmv esophagitis often occurs as part of a disseminated cmv infection cmv hsv esophagitis. Cytomegalovirus esophagitis is really two conditions, the cmv virus itself and esophagitis that.

Comments